| 年齢 | 30代 |
|---|---|
| 性別 | 男性 |
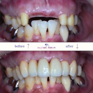
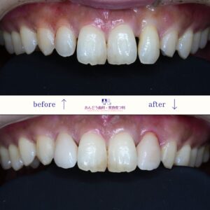
| 治療内容 | 他院で治療されたセラミックの被せ物のやり変えを希望された患者様です。 土台の状態を慎重に確認した上で、歯ぐきのラインや隣の歯とのバランスを丁寧に整えました。 唇に違和感が出ないよう薄めに設計し、隣在歯の色味・透明感・質感に合わせてカスタムシェードで仕上げています。 「前歯の違和感がなくなり、自然な笑顔になった」と喜んでいただけました。 院長コメント 前歯のセラミック治療は、色・形・透明感の微妙な調和がとても重要です。 あんどう歯科・美容皮フ科では、審美性と機能性の両立を大切にしながら、 「自然で美しい口元」を目指して治療を行っています。 |
| 治療期間・治療回数 | 治療回数:3回 |
| 治療費用 | 120,000円(税別) |
| リスク・副作用 | ・ホワイトニングしても白くならない ・治療後しみたり、違和感が出ることがある ・過度な力がかかると割れたり脱離する可能性がある ・就寝時、保護するためマウスピースを装着する必要がある ・定期的に咬み合わせのチェックとメンテナンスが必要 |


















