Case
症例紹介
カテゴリー:
すべての投稿
セラミック治療メタルフリー治療
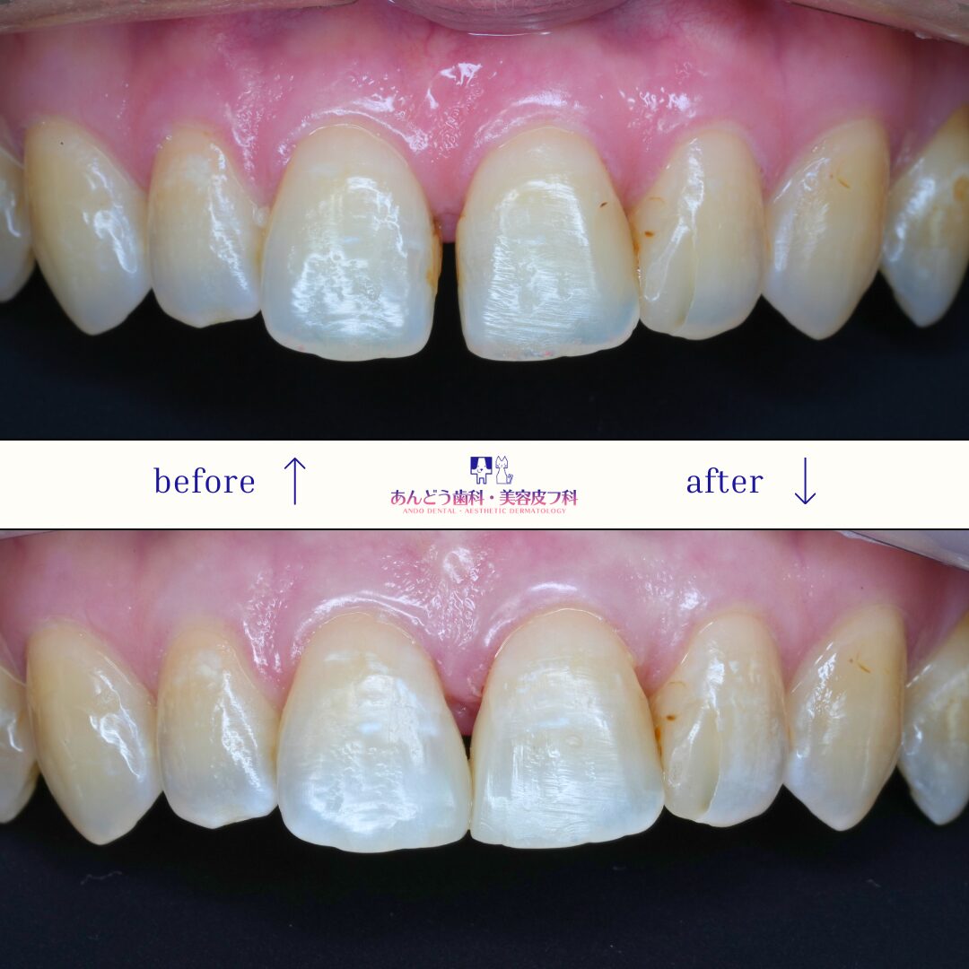
前歯の見た目にお悩みの方へ|名古屋の審美歯科 あんどう歯科・美容皮フ科

| 年齢 | 50代 |
|---|---|
| 性別 | 男性 |
| 治療内容 | 治療前は、前歯に以下のような問題が見られました。 ・被せ物の変色(保険治療) ・歯茎との境目の黒ずみ(メタルタトゥー) ・歯茎の形態の不揃い 特に前歯は「顔の印象の8割を左右する」と言われるほど重要なパーツです。 古い前歯の被せ物をセラミックできれいにすることで、清潔感のある印象につながりやすくなります。 治療後は、以下のように大きく改善しました。 ・自然で透明感のある白さ ・歯茎との境目が自然に ・左右対称で整った歯の形 ・口元全体が明るく若々しい印象に 単に白くするだけではなく、「その方に合った自然な美しさ」を重視して治療しています。 |
| 治療期間・治療回数 | 治療期間:3ヶ月 |
| 治療費用 | 480000円(税別) |
| リスク・副作用 | ・負担をかけると破折するリスクがある ・ホワイトニングしても白くならない ・定期的なメンテナンスが必要 ・マウスピースが必要な場合がある |
セラミック治療
【症例紹介】前歯がぐらぐらする方へ|重度歯周病と審美回復

| 年齢 | 30代 |
|---|---|
| 性別 | 女性 |
| 治療内容 | 主訴:前歯がぐらぐらする 上顎前歯部で重度の歯周病がみられ、激しい動揺がありました。唇側にフレアアウトしており、このまま放置すると自然脱落のリスクが高い状態でした。 単純に歯を残すのではなく、「機能・見た目・長期安定」を満たす治療を重視しました。 そのため ・保存不可能な歯の抜歯 ・歯周基本治療(炎症のコントロール) ・補綴治療による審美・機能回復 を段階的に行いました。 治療後 ・前歯の動揺は消失 ・噛める機能を回復 ・自然で違和感のない見た目 患者様からは「人前で笑えるようになった」とのお声をいただきました。 |
| 治療期間・治療回数 | 治療期間:6ヶ月 |
| 治療費用 | 840,000円(税別) |
| リスク・副作用 | ・負担をかけると破折するリスクがある ・ホワイトニングしても白くならない ・定期的なメンテナンスが必要 ・歯肉の退縮により被せ物と歯茎の間に空隙ができる可能性がある |
ダイレクトボンディング
すきっ歯をダイレクトボンディングで自然に改善した症例|名古屋の審美歯科 あんどう歯科・美容皮フ科

| 年齢 | 40代 |
|---|---|
| 性別 | 女性 |
| 治療内容 | 前歯のすき間が気になるという相談をいただきました。 今回の症例は、下の前歯の正中離開(すきっ歯)です。 矯正治療も進めましたが早く治療を終えたいと希望されましたので、ダイレクトボンディンをさせていただきました。 治療後は前歯のすき間が目立たなくなり、歯の形も自然なバランスに整いました。 周囲の歯の色や形に合わせて丁寧に治療することで、違和感のない自然な仕上がりになっています。 ダイレクトボンディングは、歯科用の樹脂(コンポジットレジン)を直接歯に接着させ、形やすき間を整える治療です。 歯の状態によっては、歯を削らず1回の治療で自然な見た目に改善することができます。 |
| 治療期間・治療回数 | 治療回数:1回 |
| 治療費用 | 20,000円(税別) |
| リスク・副作用 | ・経年的な着色の可能性 ・強い力が加わると欠ける ・ホワイトニングしても色が変化しない |
セラミック治療メタルフリー治療
前歯の変色・形態を不良をセラミックで自然に改善|審美歯科のご相談ならあんどう歯科・美容皮フ科へ

| 年齢 | 50代 |
|---|---|
| 性別 | 女性 |
| 治療内容 | 「前歯の色が気になる」「歯の形が不揃いで気になる」とのご相談で来院されました。 初診時の状態は保険のCAD/CAM冠(プラスチックの被せ物)が入っていました。 ・前歯の変色 ・歯の形態不良 ・過去の修復物との色調差 ・隣在歯とのバランス不良 特に笑った時に見える位置のため、審美的な違和感が強い状態でした。 <治療内容> ・古い修復物の除去 ・形成(必要最小限に削合) ・精密印象 ・セラミッククラウン装着 周囲の天然歯と色調・透明感を合わせるため、シェード選択を慎重に行い、自然なグラデーションを再現しました。 <治療後> ・色調の統一 ・歯の形態改善 ・スマイルラインの調和 ・清掃性の向上 周囲の歯と自然に調和し、どこを治療したのか分からない仕上がりになりました。 |
| 治療期間・治療回数 | 治療回数:2回 |
| 治療費用 | 120,000円(税別) |
| リスク・副作用 | ・負担をかけると、破折のリスクがある ・経年的に変色する可能性がある ・ホワイトニングしても白くならない |
セラミック治療
他院のセラミック治療のやり直し|審美歯科ならあんどう歯科・美容皮フ科

| 年齢 | 50代 |
|---|---|
| 性別 | 女性 |
| 治療内容 | 20年前に治療した右上犬歯のセラミックの被せ物をやり直しました。 色調と形の不調和を気にされていましたので、セラミック治療で色・形・バランスを整え、自然で清潔感のある口元に改善しました。 治療では、単に白くするのではなく、歯の厚みや形態、光の透過性まで細かく再現しました。 治療後は、前歯のバランスが整い、清潔感がありながらも自然な口元へと改善しました。 患者様に「治療したことが分からないほど自然」とご満足いただいています。 |
| 治療期間・治療回数 | 治療回数:2回 |
| 治療費用 | 120,000円(税別) |
| リスク・副作用 | ・負担をかけると、破折のリスクがある ・経年的に変色する可能性がある ・ホワイトニングしても白くならない |
ダイレクトボンディング
前歯のすきっ歯を改善|ダイレクトボンディング症例

| 年齢 | 40代 |
|---|---|
| 性別 | 女性 |
| 治療内容 | ダイレクトボンディングにより、 歯をほとんど削らずに高品質なコンポジットレジンを直接盛り足し、以下を調整しました。 ・前歯の長さ・幅・左右バランスの改善 ・正中の隙間の自然なクローズ ・歯の表面性状・透明感の再現 ・周囲の歯や歯肉との調和 色調は複数のレジンを使い分け、天然歯に近い透明感とツヤを再現しています。 <治療後の状態> ・前歯のラインが整い、口元が自然で上品な印象に ・歯の形が揃うことで、清潔感・若々しさが向上 ・治療した歯が分からないほど自然な仕上がり 短時間・低侵襲で、審美性の高い改善が得られました。 |
| 治療期間・治療回数 | 治療回数:2回 |
| 治療費用 | 40,000円(税別) |
| リスク・副作用 | ・負担をかけると、破折のリスクがある ・経年的に変色する可能性がある ・ホワイトニングしても白くならない |
セラミック治療メタルフリー治療
セラミック治療で前歯を美しく治療|名古屋で選ばれる審美歯科 あんどう歯科・美容皮フ科

| 年齢 | 30代 |
|---|---|
| 性別 | 男性 |
| 治療内容 | 他院で治療されたセラミックの被せ物のやり変えを希望された患者様です。 土台の状態を慎重に確認した上で、歯ぐきのラインや隣の歯とのバランスを丁寧に整えました。 唇に違和感が出ないよう薄めに設計し、隣在歯の色味・透明感・質感に合わせてカスタムシェードで仕上げています。 「前歯の違和感がなくなり、自然な笑顔になった」と喜んでいただけました。 院長コメント 前歯のセラミック治療は、色・形・透明感の微妙な調和がとても重要です。 あんどう歯科・美容皮フ科では、審美性と機能性の両立を大切にしながら、 「自然で美しい口元」を目指して治療を行っています。 |
| 治療期間・治療回数 | 治療回数:3回 |
| 治療費用 | 120,000円(税別) |
| リスク・副作用 | ・ホワイトニングしても白くならない ・治療後しみたり、違和感が出ることがある ・過度な力がかかると割れたり脱離する可能性がある ・就寝時、保護するためマウスピースを装着する必要がある ・定期的に咬み合わせのチェックとメンテナンスが必要 |
マウスピース矯正
出っ歯(上顎前突)を改善|名古屋市昭和区の矯正歯科 あんどう歯科・美容皮フ科

| 年齢 | 10代 |
|---|---|
| 性別 | 男性 |
| 治療内容 | 主訴:出っ歯を治したい ・下顎後退を改善するため、ツインブロックを使用 ・下顎位を改善したのち、マルチブラケットシステムにて上下前歯の唇側傾斜と叢生を改善 ・Ⅱ級ゴムで下顎位の改善と上顎前歯の唇側傾斜を改善 治療開始から2年で治療終了しました。上顎前突(出っ歯)が改善し、キレイな歯並びに仕上がりました。 |
| 治療期間・治療回数 | 治療期間:2年 |
| 治療費用 | 800,000円(税別) |
| リスク・副作用 | ・痛みや不快感 ・歯肉の炎症や腫れ ・虫歯や歯周病のリスク増加 ・歯の移動の遅れや不均等 ・歯根吸収 ・歯の着色 ・顎関節症 ・装置の外れや破損 ・治療後の後戻り |
セラミック治療メタルフリー治療
前歯を天然歯のように修復|セラミック治療

| 年齢 | 20代 |
|---|---|
| 性別 | 男性 |
| 治療内容 | 過去に歯を折ってしまい、保険の被せ物で修復されていた歯です。 検査にて根尖病巣を認め、再根管治療を行いセラミックで被せ物をさせていただきました。 隣接歯が天然歯でしたので、色、形や質感を似せて作成しなければなりません。 今回の症例は、個性的な歯のため非常に苦労しました。いろんな角度から写真を撮り、歯科技工士さんが作成しやすいように工夫しました。 セット時、患者様に非常に満足していただき嬉しかったです。 |
| 治療期間・治療回数 | 治療回数:3回 治療期間:1ヶ月 |
| 治療費用 | 99,000円(税別) |
| リスク・副作用 | ・ホワイトニングしても白くならない ・治療後しみたり、違和感が出ることがある ・過度な力がかかると割れたり脱離する可能性がある ・就寝時、保護するためマウスピースを装着する必要がある ・定期的に咬み合わせのチェックとメンテナンスが必要 |
セラミック治療
前歯をセラミック治療できれいに|30代女性の症例

| 年齢 | 30代 |
|---|---|
| 性別 | 女性 |
| 治療内容 | 前歯4本をセラミック治療を行いました。 歯ぎしりで歯が削れてしまい、ギザギザした形と歯の色の改善を希望されました。 歯の色の改善のためホワイトニングを併用した審美治療を計画しました。 歯の神経を残すため、最小限の削除量にするよう集中して治療を行いました。 装着後、口元がきれいになり笑顔に自信がついたと大変喜んでいただきました。 |
| 治療期間・治療回数 | 治療回数:4回 治療期間:2ヶ月 |
| 治療費用 | 396,000円(税別) |
| リスク・副作用 | ・ホワイトニングしても白くならない ・治療後しみたり、違和感が出ることがある ・過度な力がかかると割れたり脱離する可能性がある ・就寝時、保護するためマウスピースを装着する必要がある ・定期的に咬み合わせのチェックとメンテナンスが必要 |