前歯のセラミック治療|自然な仕上がりを目指した審美歯科治療 - 名古屋市昭和区の歯科・小児歯科・矯正歯科|あんどう歯科・美容皮フ科

Case

症例紹介

カテゴリー:

セラミック治療メタルフリー治療

前歯のセラミック治療|自然な仕上がりを目指した審美歯科治療

年齢 30代
性別 女性
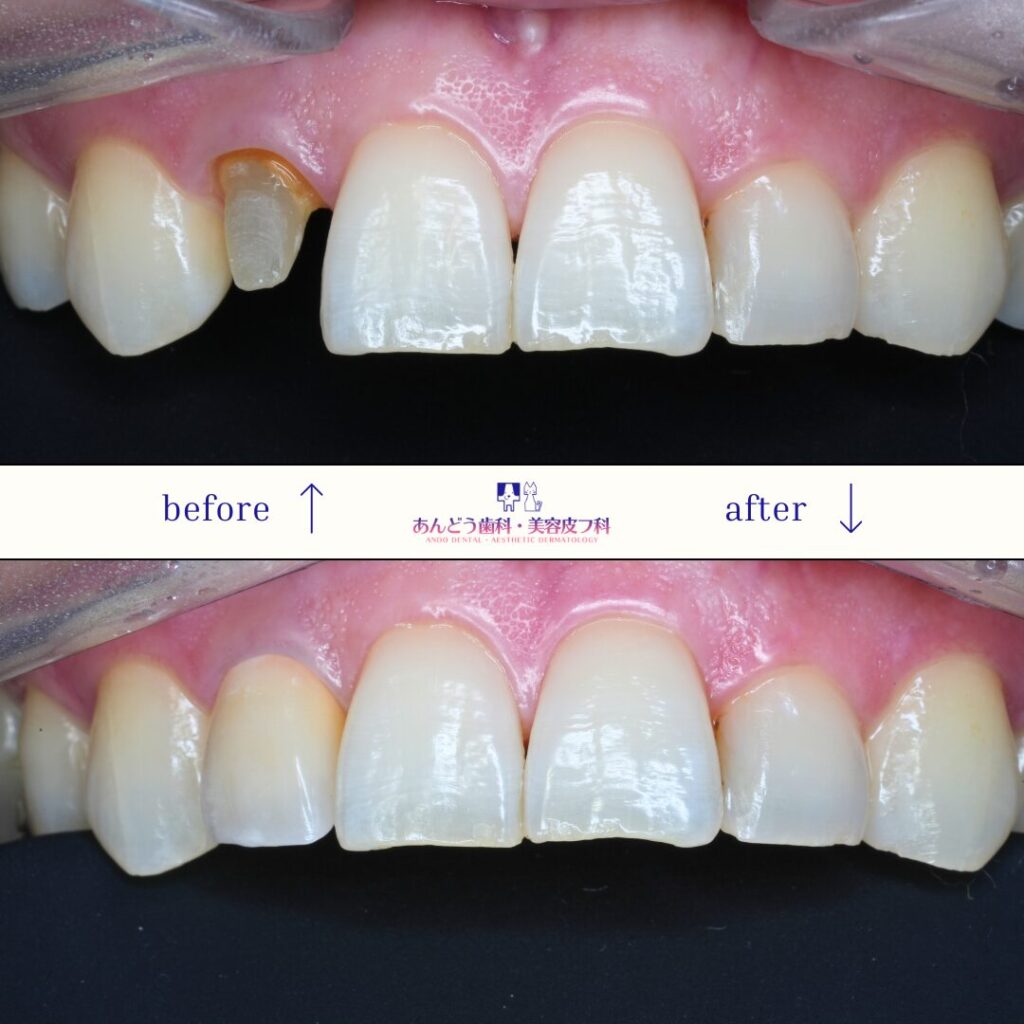
治療内容 右上2番にポーセレン焼付けジルコニアクラウンを装着しました。
通常のジルコニアクラウンと比較して、より自然な見た目に仕上がります。
隣の歯が天然歯の場合、価格は上がりますがこちらをおすすめすることが多いです。
前歯のセラミック治療は、見た目がとても重要です。
患者様とコミュニケーションを取り、満足度が高い治療を提供できるよう心がけています。
治療期間・治療回数 治療期間:2週間
治療回数:2回
治療費用 120,000円(税別)
リスク・副作用 ・ホワイトニングしても白くならない
・治療後しみたり、違和感がでることがある
・過度な力がかかると割れたり脱離する可能性がある
・就寝時、セラミックの被せ物の保護のためマウスピースの装着が必要
・定期的に咬み合わせのチェックとメンテナンスが必要