Case
症例紹介
カテゴリー:
ダイレクトボンディング
すきっ歯をダイレクトボンディングで自然に改善した症例|名古屋の審美歯科 あんどう歯科・美容皮フ科

| 年齢 | 40代 |
|---|---|
| 性別 | 女性 |
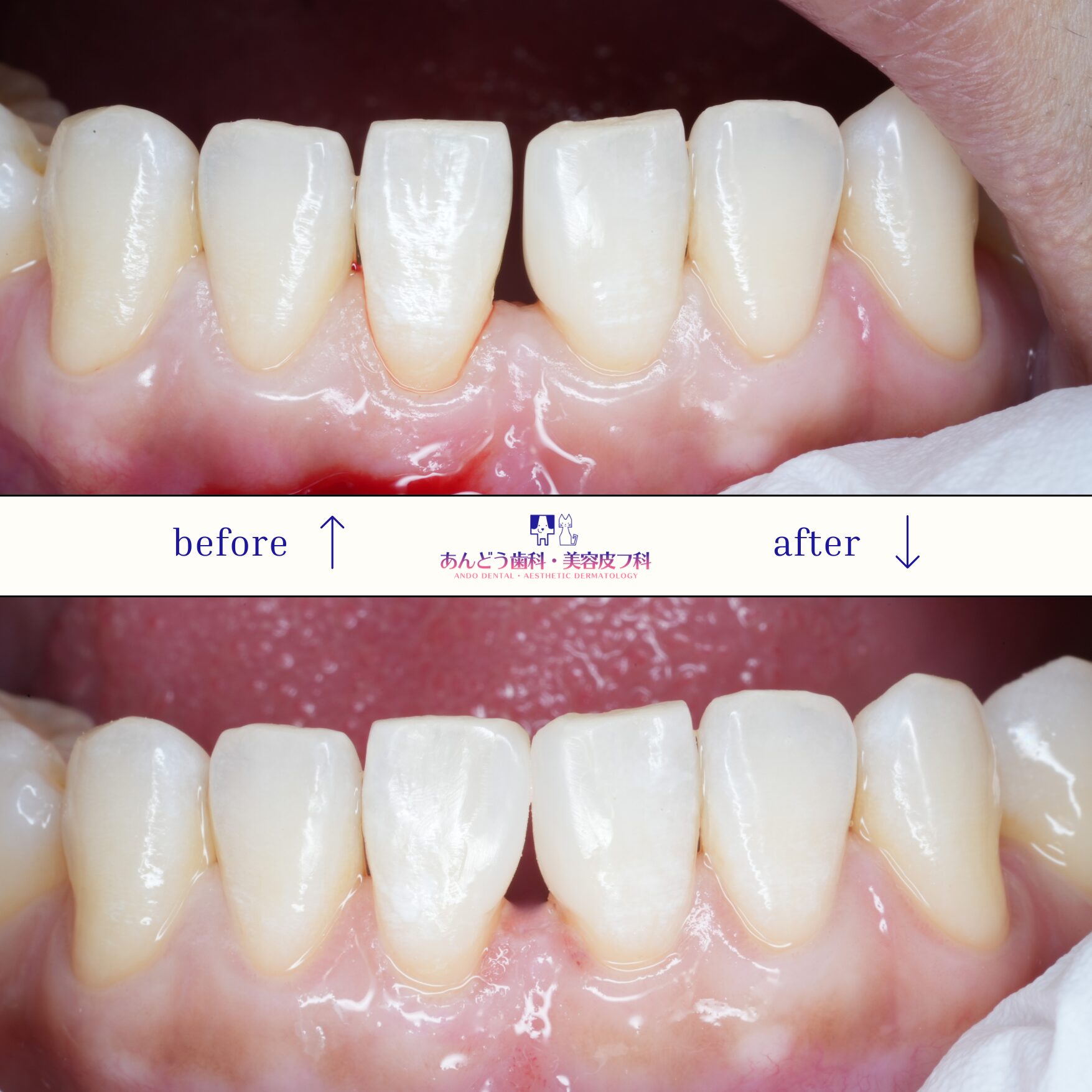
| 治療内容 | 前歯のすき間が気になるという相談をいただきました。 今回の症例は、下の前歯の正中離開(すきっ歯)です。 矯正治療も進めましたが早く治療を終えたいと希望されましたので、ダイレクトボンディンをさせていただきました。 治療後は前歯のすき間が目立たなくなり、歯の形も自然なバランスに整いました。 周囲の歯の色や形に合わせて丁寧に治療することで、違和感のない自然な仕上がりになっています。 ダイレクトボンディングは、歯科用の樹脂(コンポジットレジン)を直接歯に接着させ、形やすき間を整える治療です。 歯の状態によっては、歯を削らず1回の治療で自然な見た目に改善することができます。 |
| 治療期間・治療回数 | 治療回数:1回 |
| 治療費用 | 20,000円(税別) |
| リスク・副作用 | ・経年的な着色の可能性 ・強い力が加わると欠ける ・ホワイトニングしても色が変化しない |
