TOPICS
新着情報
カテゴリー:
すべての投稿
-
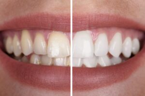
審美歯科の仕上がりを左右する!名古屋で失敗しない医院選び
歯科BLOG
審美歯科選びで後悔しないために名古屋市内で審美歯科を探している方は少なくありません。「銀歯が気になって笑えない」「前歯の色や形をきれいにしたい」「口元に自信が持てない」・・・こうしたお悩みは、審美歯科治療によって改善が期待できます。ただし、...
-
名古屋でラミネートベニア治療を受ける前に知っておきたい6つの注意点
歯科BLOG
前歯の見た目が気になって、笑顔に自信が持てない・・・。そんなお悩みを抱えている方にとって、**ラミネートベニア**は魅力的な選択肢です。歯を削る量が少なく、短期間で美しい口元が手に入るこの治療法は、名古屋市内でも多くの審美歯科で提供されてい...
-
削らないラミネートベニアが向かない症例と代替治療法
歯科BLOG
削らないラミネートベニアとは削らないラミネートベニアは、歯の表面をほとんど削らずに薄いセラミック製のシェルを貼り付ける審美歯科治療です。従来のラミネートベニアでは、歯の表面を0.3〜0.5mm程度削る必要がありましたが、削らないタイプでは歯...
-
歯を削るラミネートベニアこそ美しい?審美性と耐久性の真実
歯科BLOG
近年、「削らないラミネートベニア」が注目を集めています。歯を削らずに美しい歯を手に入れられるという魅力的な響きに、多くの方が関心を寄せているのではないでしょうか。しかし、従来の「歯を削るラミネートベニア」には、削らないタイプでは得られない審...
-
ラミネートベニアで削る量は何ミリ?不安を解消する処置範囲ガイド
歯科BLOG
ラミネートベニアの削る量が気になるあなたへ前歯の見た目を美しく整えたい。そう考えてラミネートベニアを検討しているけれど、「歯を削る」と聞いて不安になっていませんか?歯は一度削ると元に戻せません。だからこそ、どれくらい削るのか、削ることでどん...
-
名古屋で矯正方法を選ぶ前に知りたい!生活スタイル別装置の選び方
歯科BLOG
名古屋で矯正治療を始める前に考えたいこと矯正治療を検討されている方にとって、装置選びは大きな決断です。名古屋市内には多くの矯正歯科医院があり、治療方法も多様化しています。マウスピース矯正、ワイヤー矯正、裏側矯正など、選択肢が増えたことで「自...
-
迷っている方へ、名古屋で矯正方法を選ぶ際の判断基準を解説を極める!初心者からプロまでの道のり
歯科BLOG
名古屋で矯正治療を検討する方へ歯並びが気になっているけれど、どの矯正方法を選べばいいか迷っていませんか?名古屋市内には数多くの矯正歯科医院があり、マウスピース矯正やワイヤー矯正など、さまざまな治療法が提供されています。それぞれの矯正方法には...
-
通院スタイルに差が出る?マウスピース矯正とワイヤー矯正の違いを徹底比較
歯科BLOG
歯並びを整えたいけれど、どの矯正方法を選べばいいのか迷っていませんか?マウスピース矯正とワイヤー矯正では、通院頻度や治療期間、日常生活での自己管理の方法が大きく異なります。矯正治療は長期間にわたる取り組みです。だからこそ、ご自身のライフスタ...
-
部分矯正と全体矯正の違いとは?費用・期間・適応範囲を比較
歯科BLOG
部分矯正と全体矯正、どちらを選ぶべきか迷っていませんか?歯並びを改善したいと思ったとき、「部分矯正」と「全体矯正」という選択肢があることをご存知でしょうか。前歯のちょっとした隙間や、気になる1本のねじれだけを治したい方には部分矯正が適してい...
-
マウスピース矯正とワイヤー矯正の違いを徹底比較!装置選びで失敗しないポイント
歯科BLOG
矯正治療の選択肢・・・あなたに合うのはどっち?歯並びを整えたいと思ったとき、まず悩むのが「どの矯正方法を選ぶか」ではないでしょうか。矯正治療には大きく分けて「マウスピース矯正」と「ワイヤー矯正」の2つの選択肢があります。それぞれにメリット・...